Incucyte® AI Nuclei Detection Software Module

Top Features of the Incucyte® AI Nuclei Detection Analysis Software Module

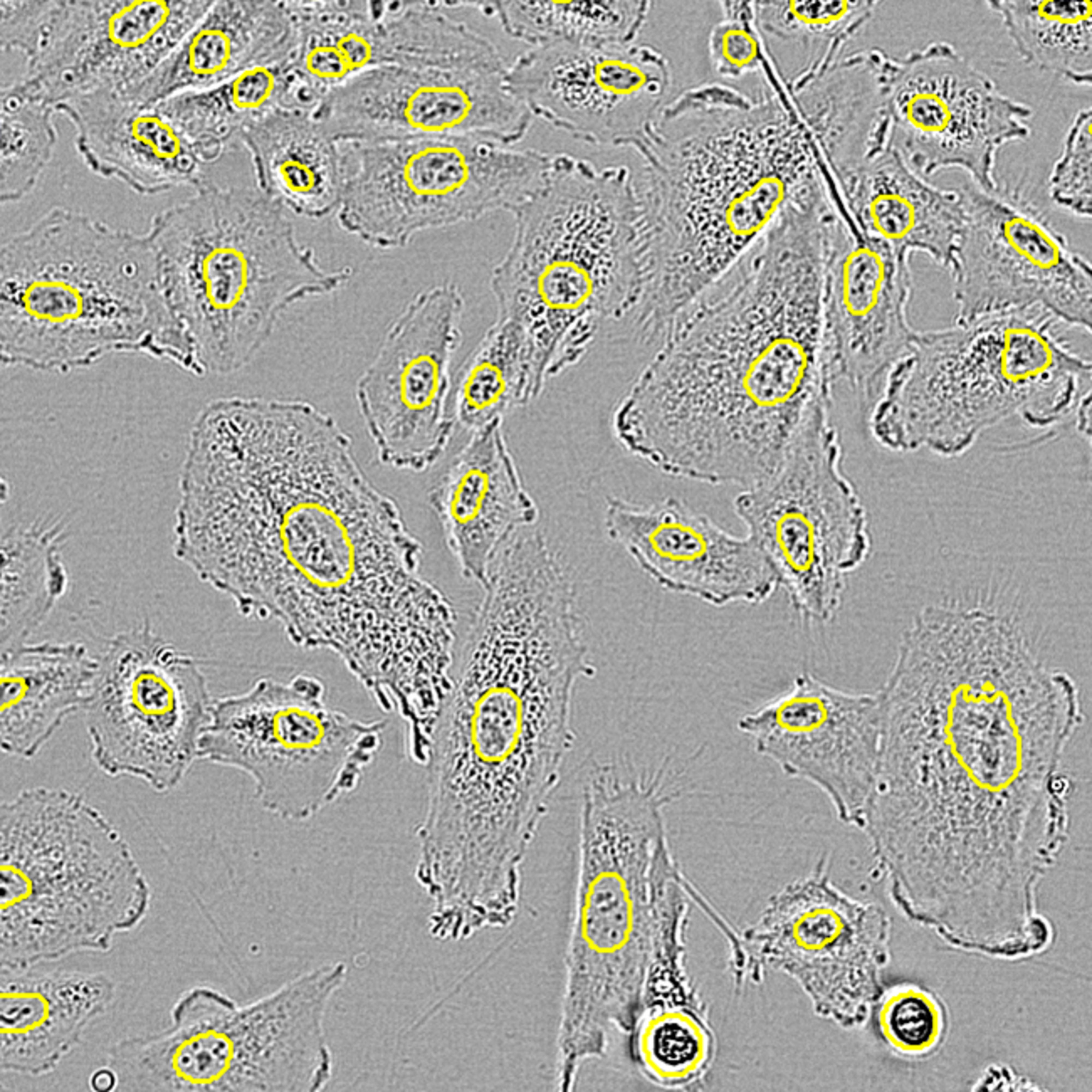
  • AI-Powered, Label-Free Nuclei Segmentation: Automatically detect and segment adherent nuclei from HD phase-contrast images—no fluorescent dyes or manual steps required.
  • Pre-Trained Deep Learning Model: Delivers immediate, high-accuracy results with zero user training or tuning needed.
  • Quantitative Nuclear Metrics: Analyze nuclear area, eccentricity, texture, and fluorescence intensity to monitor cell health and morphology.

Popular Applications for the Incucyte® AI Nuclei Detection Analysis

  • Proliferation Assays
  • Cell Cycle
Item No.: 
BA-04897
*Custom/bulk order quotes are provided within 24 hours of request.
Incucyte® AI Nuclei Detection Software Module
Incucyte® AI Nuclei Detection Software Module

Top Features of the Incucyte® AI Nuclei Detection Analysis Software Module

  • AI-Powered, Label-Free Nuclei Segmentation: Automatically detect and segment adherent nuclei from HD phase-contrast images—no fluorescent dyes or manual steps required.
  • Pre-Trained Deep Learning Model: Delivers immediate, high-accuracy results with zero user training or tuning needed.
  • Quantitative Nuclear Metrics: Analyze nuclear area, eccentricity, texture, and fluorescence intensity to monitor cell health and morphology.

Popular Applications for the Incucyte® AI Nuclei Detection Analysis

  • Proliferation Assays
  • Cell Cycle
Item No.:
BA-04897

Overview

Specifications

The Incucyte® AI Nuclei Detection Software Module is a next-generation analysis tool designed to simplify and accelerate your image-based cellular research. Built with advanced AI, this module enables label-free, high-accuracy segmentation of adherent cell nuclei using HD phase-contrast images. By eliminating the need for dyes or manual intervention, it allows researchers to perform non-invasive, real-time analysis of cell health, proliferation, and nuclear morphology.

Optimized for performance and ease of use, the AI model is pre-trained and ready to deploy—offering robust, reproducible results across various cell types and confluency levels. Whether analyzing nuclear swelling in cytotoxicity studies or tracking cell proliferation, this software module provides objective insights with a few clicks. Easily integrated into your Incucyte® workflow, it transforms complex nuclear detection into a scalable, standardized process.

Incucyte® AI Nuclei Detection Software is available for purchase for Incucyte CX3 and S-series instruments and requires software version 2025B or higher.

Features

  • Device/Instrument Compatibility
    • SX5
    • CX3
    • SX1
    • S3

Product Information

  • Brand
    Incucyte®

Share Your Thoughts!

Help us amplify the customer experience by providing a review of your recently purchased Sartorius product.